Кровоточивость десен - лечение и предупреждение
Кровоточивость десен, наверное, самая распространенная болезнь у большинства людей.
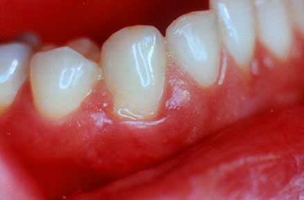
Поначалу все выглядит так: во время приема пищи или чистки зубов возникает ощущение дискомфорта, а на зубной щетке или пище появляются небольшие капельки крови. Если же заглянуть в зеркало, можно увидеть, что в месте, где возник дискомфорт, десна опухла и «отстала» от зуба…
Заметили такие признаки? Не стоит их игнорировать – своевременное лечение кровоточивости десен помогает и убрать имеющийся дискомфорт, и прекратить боль. И, что самое главное – предупредить возникновение болезней зубов, которые могут развиться из-за этой простой болезни.
Это легко могут сделать специалисты клиники ПрезиДЕНТ. А пока мы поговорим о том, как происходит лечение и к чему может привести игнорирование этих неприятностей.
Чем опасна кровоточивость десен?
Кровоточивость десен может стать причиной возникновения более серьезных заболеваний. В этом нет ничего удивительного: во время кровоточивости бактериям, находящимся в ротовой полости, «открывается доступ» в обычно защищенные ткани зуба и десны. Без своевременного устранения и тщательного ухода за деснами кровоточивость десен может перерасти в гингивит или пародонтит.
От этих двух болезней избавиться сложнее – если кровоточивость устраняется за два-три сеанса, то лечение пародонтита может занимать более месяца. И, конечно, оно дороже и немного болезненнее.
Поэтому не стоит думать, что кровоточивость десен не страшна. И, для ее своевременного лечения и дальнейшей профилактики следует вовремя обращаться к врачу.
Когда стоит обращаться к специалисту?
В стоматологическую клинику нужно обращаться, если:
-
десна кровоточат при нетравмирующих действиях. Например, во время приема пищи
-
десна покраснели и выглядят припухшими
-
появился неприятный запах изо рта или начали расшатываться зубы

При одном из этих симптомов стоит незамедлительно записываться на прием к врачу – он назначит и лечение, и расскажет все о профилактике кровоточивости десен.
Как устраняется кровоточивость десен и проходит лечение
Лечение кровоточивости десен происходит в несколько этапов. Обычно наши специалисты:
-
Проводят диагностику и выявляют причины кровоточивости. Иногда это могут быть проблемы, связанные с болезнями зубов и десен, в более редких случаях причиной кровоточивости может стать заболевание крови, стоматит или прием определенных препаратов.
-
Вторым этапом лечения будет устранение причины кровоточивости – например, в случае стоматита врач назначит процедуры для его устранения и кровоточивость десен пройдет.
-
Через несколько недель стоит появиться для повторного осмотра и обсудить с врачом профилактику кровоточивости.
Как видите, лечение кровоточивости десен в нашей клинике:
-
совершенно безболезненно
-
безопасно даже для маленьких детей
-
быстро и эффективно
Также особенностью лечения кровоточивости будет последующая индивидуальная консультация для ее предупреждения. Мы расскажем об основных приемах, но наиболее эффективны советы, которые вы можете узнать на приеме у врача.
Профилактика кровоточивости десен
Профилактика кровоточивости десен бывает разной – классической и основанной на народных методах и рецептах.
Классическая профилактика кровоточивости десен включает в себя тщательный уход за полостью рта, массаж десен, подбор специальных зубных паст, мазей. Указанные средства можно выбирать и самостоятельно, и с помощью врача – но только во втором случае они будут наиболее эффективны.
-
Профилактика кровоточивости на основе народных методов не менее эффективна – она включает в себя рецепты отваров для полоскания ротовой полости и мазей. Наиболее действенными считаются отвар ромашки и шалфея, которым нужно полоскать рот после каждого приема пищи.
Какую бы вы не выбрали профилактику, главное, чтобы она была постоянной. Только так можно избежать кровоточивости десен и наслаждаться жизнью без неудобств.
Но, если у вас возникли перечисленные выше неудобства, мы всегда ждем вас в нашей клинике – и поможем вылечить и предупредить кровоточивость десен.
|
|
|
|
|
|
+998 95 7170005
|
Город Чирчик, ул.А.Навои, 13 A
|
|

|